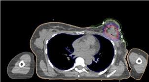
What Does Breast Cancer Look Like On A Ct Scan / Breast Cancer On Thorax Ct Radiology Case Radiopaedia Org / Controversy continues to surround the question of whether ct and bone scans should be standard in evaluating patients for these metastases, or whether integrated pet/ct scanning might.
Dapatkan link
Facebook
X
Pinterest
Email
Aplikasi Lainnya
What Does Breast Cancer Look Like On A Ct Scan / Breast Cancer On Thorax Ct Radiology Case Radiopaedia Org / Controversy continues to surround the question of whether ct and bone scans should be standard in evaluating patients for these metastases, or whether integrated pet/ct scanning might.. Controversy continues to surround the question of whether ct and bone scans should be standard in evaluating patients for these metastases, or whether integrated pet/ct scanning might. Identify the correct area for. Combining a pet scan with an mri or ct scan can help make the images easier to interpret. Doctors your own question and get educational, text answers — it's anonymous and free! The scan lets them:learn the cancer's stage.
Radiation therapy may be used to treat breast cancer at almost every stage. Although breast pet scans use radioactive material, the dose of radiation given to the patient is very minimal. Some researchers are investigating whether breast ct scans could be a better screening tool than traditional mammography. They help plan the patient's surgery as well. What does breast cancer look like?
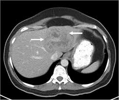
Mit Csail S Ai Can Predict The Onset Of Breast Cancer 5 Years In Advance Venturebeat from venturebeat.com If the cancer is thought to have spread, doctors can use imaging tests (tests that create pictures of the inside of the body) to help find out if or where a cancer has spread. Sometimes a ct scan or mri scan is all that is needed to make a diagnosis of secondary cancer in the lymph nodes. Doctors use a computed tomography (ct) scan, also called a cat scan, to find cancer. However, they are also scanning my thorax. Doctors your own question and get educational, text answers — it's anonymous and free! Ct scans can help doctors: Finding breast lumps and seeing change in the size and shape. Some researchers are investigating whether breast ct scans could be a better screening tool than traditional mammography.
What does cancer look like on ct scan.
At left is a ct scan, while the center image is from a pet scanner. Doctors use a computed tomography (ct) scan, also called a cat scan, to find cancer. Knowing this helps you and your doctor choose the best treatment options. What is the difference between a ct scan and an mri? Learn the stage of your cancer. Controversy continues to surround the question of whether ct and bone scans should be standard in evaluating patients for these metastases, or whether integrated pet/ct scanning might. Ct scans can be misread or misinterpreted. To help you prepare, here's a look at what to expect. A patient undergoing a breast ct scan will lie face down on a table that is slid into a scanner that takes photographs of the patient's chest area. Imaging tests usually can't tell if a change has been caused by cancer. Amongst everything that's been going on i have not been checking my breasts, stupidly i was looking for cancer in other areas and now i think my breast may be the culprit. During breast ct, you lie face down on a table while a ct scanner rotates around the breast. This substance is often called a tracer, because it helps reveal cancer in the body.
If the cancer is thought to have spread, doctors can use imaging tests (tests that create pictures of the inside of the body) to help find out if or where a cancer has spread. Learn the stage of your cancer. A pet scan will show increased metabolic activity or a area of locality that is different from surrounding tissue indicating area concerning for cancer. (1) gary ulaner, md, phd, facnm. Pet scans are not used to screen women for breast cancer.
Small Cell Lung Cancer With Metastasis To The Breast A Case Report And Review Of The Literature from www.jscimedcentral.com Doctors often use ct scans to help them guide a needle to remove a small piece of tissue. Long story short i have a ct scan with contrast on 1st june to look for cancer in the abdominal cavity. Signs that breast cancer has spread to the bone. During breast ct, you lie face down on a table while a ct scanner rotates around the breast. The patient typically takes some. When the doctor knows this, they can choose the best course of treatment and maybe even predict your chances of recovery. Once doctors know where to look, further evaluation can be done with other techniques. The person lies on a table that moves through a scanning ring, which looks like a large doughnut.
Benefits of a ct scan.
In addition, it is commonly used to ease the symptoms caused by cancer that has spread to other parts of the body (metastatic breast cancer). What does breast cancer look like? Ct scans can be misread or misinterpreted. After treatment, ct scans may be used if there is reason to think the breast cancer has spread or recurred outside the breast. This substance is often called a tracer, because it helps reveal cancer in the body. The patient typically takes some. Benefits of a ct scan. We'll show you breast cancer pictures to help you identify any physical traits of the condition. Before a pet/ct scan, an iv that injects a small amount of a radioactive substance will be placed into one of your veins. Some researchers are investigating whether breast ct scans could be a better screening tool than traditional mammography. A ct scan is a safe test for most people but like all medical tests it has some possible risks. During breast ct, you lie face down on a table while a ct scanner rotates around the breast. With cancer cells, they appear as bright spots due to its higher metabolic rate compared to normal cells.
A ct scan can be wrong: Controversy continues to surround the question of whether ct and bone scans should be standard in evaluating patients for these metastases, or whether integrated pet/ct scanning might. Ct, mri, and pet scans can also tell if your cancer spread. Signs that breast cancer has spread to the bone. A pet scan will show increased metabolic activity or a area of locality that is different from surrounding tissue indicating area concerning for cancer.
Small Cell Lung Cancer With Metastasis To The Breast A Case Report And Review Of The Literature from www.jscimedcentral.com As you probably know, a ct scan is one of several imaging techniques—this one primarily for looking at organs. The person lies on a table that moves through a scanning ring, which looks like a large doughnut. Imaging tests usually can't tell if a change has been caused by cancer. I went for a scan on my right breast after finding a suspicious lump under the skin on the outside of my nipple.the radiographer confirmed a solid mass and explained he would like to take a biopsy there and then.this was all a bit of a surprise to me as i hadn't been that fussed about it.he said the doctors have their weekly meeting the following day but my biopsy results wouldn't be back so. Knowing this helps you and your doctor choose the best treatment options. It also helps doctors predict how well you will recover.find the right place for a biopsy.plan Breast cancers frequently light up on pet scan but the purpose of the scan is usually to look for metastases, not look at the actual breast tumor.small tumors, including in the breast or metastases, may not be seen on pet scan so while a positive scan confirmed with biopsy means there is a metastasis, a negative scan does not automatically mean that you don't have a. (1) gary ulaner, md, phd, facnm.
We'll show you breast cancer pictures to help you identify any physical traits of the condition.
Long story short i have a ct scan with contrast on 1st june to look for cancer in the abdominal cavity. Radiation therapy is an effective way to reduce your risk of breast cancer recurring after surgery. It is common for patients to receive a diagnosis for cancer of unknown primary. To help you prepare, here's a look at what to expect. After treatment, ct scans may be used if there is reason to think the breast cancer has spread or recurred outside the breast. With cancer cells, they appear as bright spots due to its higher metabolic rate compared to normal cells. (1) gary ulaner, md, phd, facnm. The scan lets them:learn the cancer's stage. Knowing this helps you and your doctor choose the best treatment options. Combining a pet scan with an mri or ct scan can help make the images easier to interpret. Your doctor and radiographer make sure the benefits of having the test outweigh these risks. Ct scans can be misread or misinterpreted. A ct scan is a safe test for most people but like all medical tests it has some possible risks.
Sears Credit Card Make A Payment - Sears Credit Card Bill Payment Address Phone Number Review : Input the customer's user id and password. . The sears credit card interest rates and terms. Manage your sears credit card account online, make payments or simply submit an application. Manage your sears credit card account online, any time, using any device. It is a good option if you have exhausted all your other funding sources. If you are a cardholder and the payment due date is near and you are wondering how you will pay the bill, read our guide and you will get complete information. This credit card offers a 15%% discount on the first purchases made when you newly get your card. Confirm you actually have a sears credit card. Making a sears new credit card account is not a very tough job to do. On the page shown below the cardholder is asked to enter the following information to activate his/her sears credit card Manage all your bills, get payment due date reminde...
Make A Valentine's Day Card / 28 Easy Diy Valentines Anyone Can Make Better Homes Gardens / After your card is folded, you can add some glitter, stickers or other decorations. . Need the perfect card to go with the amazing valentine's day gift you picked out for him or her? Express yourself this valentine's day with zazzle! Fold a sheet of cardstock in half to make a card. Hlw viewers, welcome to my channel.how to make valentine's day card idea. I put together 12 different cricut valentine's day cards you can easily make, no tutorial needed! Here, an owl crafted from punched shapes (we used an oval punch, an oval scallop punch, and a corner rounder) delivers a simple message. Save a few recycled materials to make these beautiful diy valentine's day cards. Adobe spark offers a wide array of designs and templates so you can make your own gorgeous valentine's day cards. Plus, there's even instructions for how to make an equally del...
How To Make Handmade Greeting Cards For Teachers Day / How To Make A Homemade Teacher S Day Card 7 Steps With Pictures - Celebrating teacher's day… i was delighted when a friend, suhriya, ordered 15 teacher day cards for her children. . Teachers are like parents who take care of their students. These are easy and anyone can create these cards at home. Stick green wrapper candy to make it look like leaves. This video shows steps to make teacher's day greeting card. Pencil stand as teachers day card and gift ideas. Teachers are like parents who take care of their students. M203 thanks for bee ing a great teacher with images from teachers day handmade greeting card. Hello everyone i am kanchan and welcome to diywithkanchan so in today tutorial we will be making teachers day card.how to make handmade greeting cards for t. Teachers day greeting card handmade has a variety pictures that connected to find out the most recent pictures of teachers day greeting card h...
Komentar
Posting Komentar